American Farriers Journal
American Farriers Journal is the “hands-on” magazine for professional farriers, equine veterinarians and horse care product and service buyers.

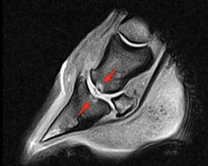
This MRI is an example of a bone bruise on the coffin bone and short pastern that occurred because of rapid deceleration on synthetic footing.
The study of synthetic footing remains the frontier of the sport horse industry. In my opinion, synthetic footing is the sporthorse farrier’s greatest challenge. There is little scientific data available to guide farriers. Mostly, we have our own experiences and those of our colleagues to what works and doesn’t work for horses that are performing on synthetic surfaces.
My experience comes from 24 years of shoeing and what I’ve learned from mentors, colleagues and horses along the way.
I’m the founder of the multi-farrier practice C-Cross Farrier Services in Colorado. We are the official farriers of the Colorado Horse Park since 2015. We cover an average of 75 days of hunter/jumper shows each year. We also worked the 2016 FEI North American Young Riders Championships, the 2017 FEI World Cup and Dressage Finals in Omaha, Neb., as well as the 2018 American Eventing Championships, all of which were shown on synthetic footing.
We’ve had the privilege of tending to horses from…